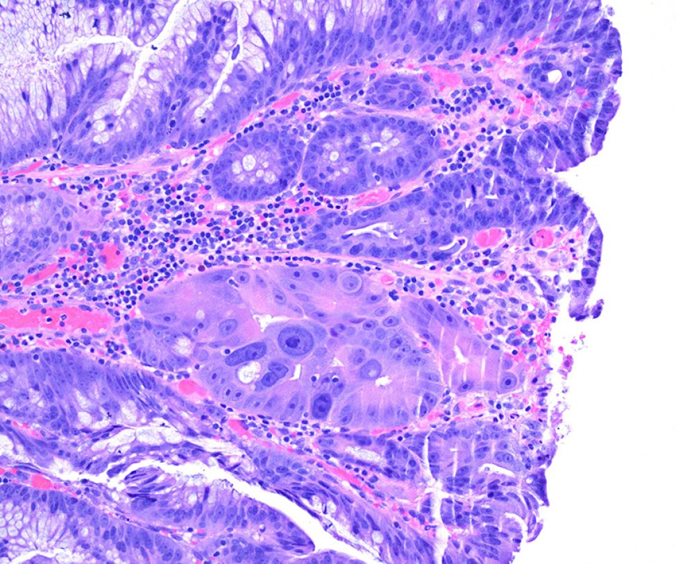
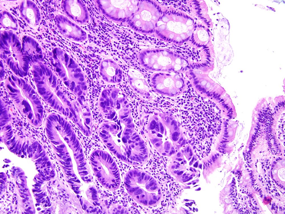
We study how physiologic perturbations to the intestinal mucosal microenvironment exert selective pressures permissive for emergence of colorectal cancer. Such perturbations encompass chronic injury/repair, oxygen flux, metabolic rewiring, microbial dysbiosis, and anatomic segment-associated differences in stromal cellularity and stiffness.
To investigate the molecular and morphologic consequences of these variables on intestinal epithelium, we leverage both primary human tissue and ex vivo 3D intestinal organoid models of normal and diseased epithelium. As genomic heterogeneity can fuel the initiation of cancer, we also study how the emergence of cytologic features of dysplasia in vitro associate with mitotic errors and chromosomal instability.
As a proof of principle, our lab recently demonstrated that modulation of a colonic mucosa-relevant growth factor alone could lead to emergence of neoplasia-associated phenotypes in non-transformed organoids. Epidermal growth factor (EGF) is a critical mitogen in the intestinal stem cell niche. Normal colon epithelial organoids (colonoids) typically require EGF for survival, whereas colorectal cancer organoids with KRAS or PIK3CA alterations grow independently of EGF. We showed that normal and colitis-derived colonoids adapted to EGF-independent growth over the course of many months exhibited chromosomal instability, cytologic features of dysplasia, and colorectal cancer-associated transcriptional reprogramming. Further, colitis-derived colonoids had accelerated adaptive potential in our model. Our lab continues to investigate the lasting molecular impact of perturbations to niche homeostasis on epithelial biology, specifically focusing on inflammatory bowel disease-associated dysplasia and sporadic early onset colorectal cancer.
Optically cleared normal human colonic mucosa
Live imaging of H2B-mNeon-labeled Apc mutant colonoid
Optically cleared normal colonoid stained with beta-catenin (green) and DAPI (blue)
1/4 ▼

2/4 ▼

3/4 ▼

4/4 ▼
