Fellowship
The Johns Hopkins University School of Medicine Medical and Public Health Laboratory Microbiology Fellowship Program is an American Society for Microbiology (ASM) postgraduate training program that is overseen by the Subcommittee on Postgraduate Educational Programs (CPEP).
CPEP is a 2-year fellowship program that prepares scientists and physicians for leadership roles in medical and public health microbiology laboratory careers.
Program Co-Director: Dr. Heba Mostafa, MD, PhD, D(ABMM), FIDSA
Program Co-Director: Dr. Andrew Clark, PhD, D(ABMM)
Case of the Month
August 2025
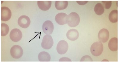
A 74-year-old male with a history of Hodgkin's lymphoma presents with recurrent fever, fatigue, and night sweats. He was evaluated 10 days ago for similar symptoms and diagnosed with Lyme disease, for which he received IV ceftriaxone. During a recent heat wave, he experienced sudden fatigue, energy loss, tremors, and night sweats. Although the night sweats have subsided, he continues to have chills and intermittent fevers, with a recent spike to 104°F. He reports muscle and joint aches and has increased his fluid intake using Gatorade and Liquid I.V. to prevent dehydration.The COVID-19 test is negative. No cough, shortness of breath, or other respiratory symptoms are present. No weight loss, changes in taste or new rash have been noted. He has spent significant time outdoors over the past month.
Laboratory workup revealed findings suggestive of hemolysis including increased LDH and increased white blood cells count with a neutrophil predominance. Malaria smear by giemsa-stained thin and thick smear is positive for Babesia and % Parasitemia = 1.7%.
Which of the following is false regarding Babesiosis?
A. Symptoms of Babesiosis typically begin 1 to 4 weeks after exposure to the parasite
B. Babesiosis is transmitted through tick bites or blood transfusion
C. Co-infection with Lyme disease is possible
D. Babesia microti is a rare cause of symptomatic Babesiosis in the U.S.
Educational Videos
Hepatitis C Virus
Malaria
Pipetting
Streaking Plates
Podcast
coming soon...
Learn About Microbiology
tba...
