Not all brain tumors are the same!
Brain and spinal cord tumors are an heterogeneous group of diseases that encompass over 100 different types of tumors. Brain tumors are classified according to their resemblance to normal cell components of the brain.
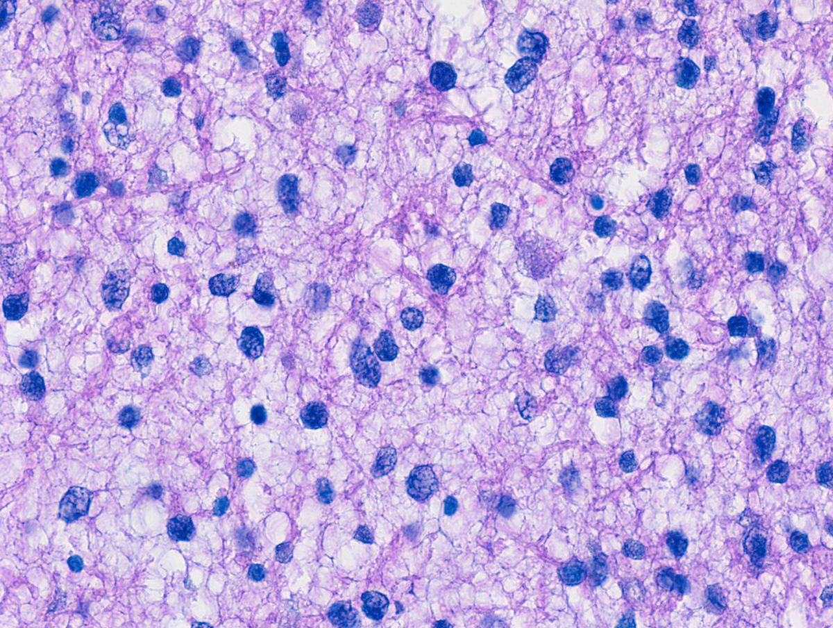
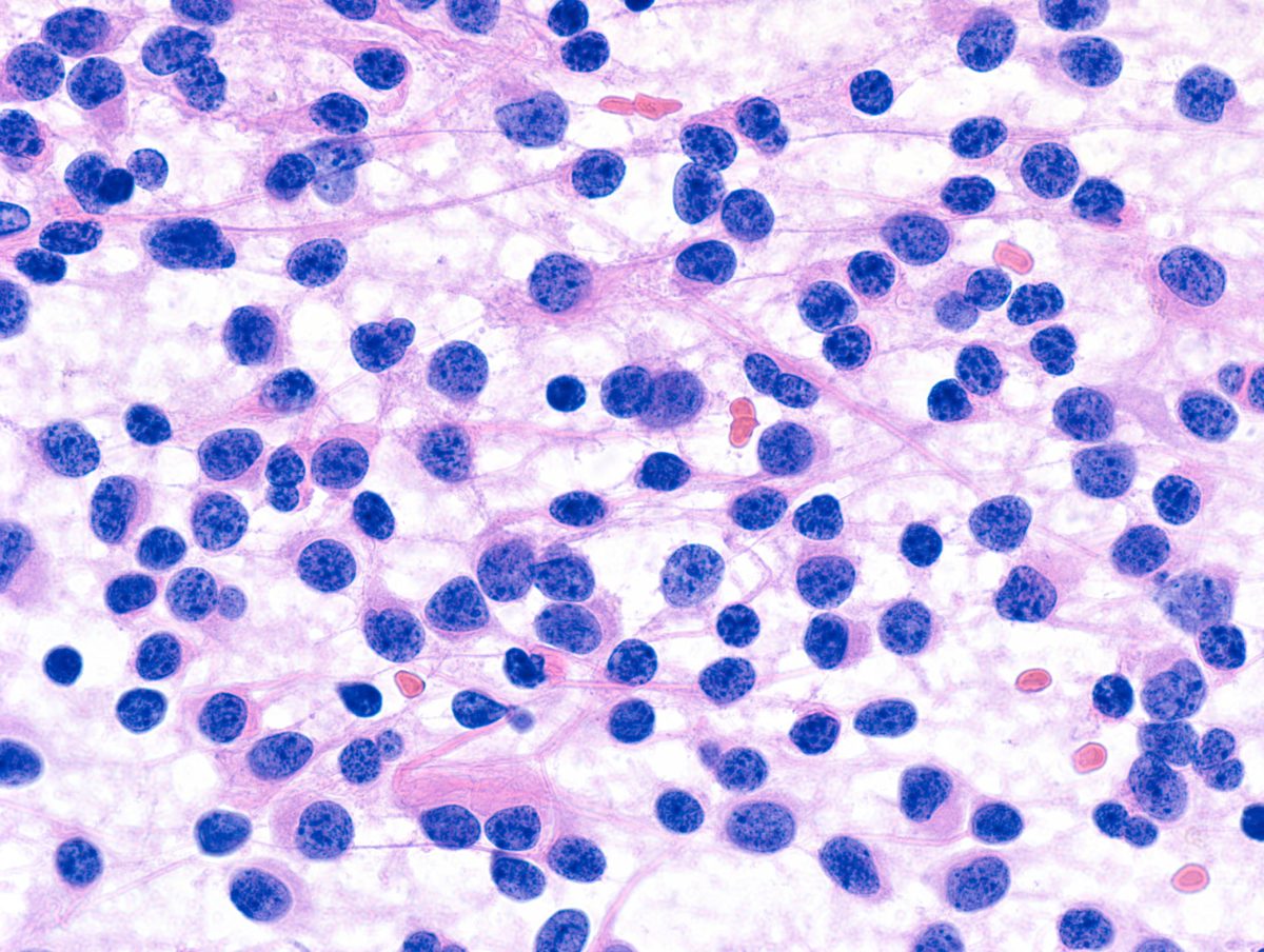
Gliomas ▼
Gliomas represent the largest group of primary brain tumors and resemble glia, supportive cells encountered in the brain parenchyma. Astrocytomas and oligodendrogliomas are two glioma subtypes. These tumors may be low grade or high grade based on their potential aggressiveness, and include the highly malignant glioblastoma which has a high proliferative rate under the microscope, as well as other features of aggressiveness including microvascular proliferation and necrosis.
Meningiomas ▼
Meningiomas develop from cells lining the brain coverings (meninges) and tend to develop in the surface of the brain. They are usually removed by surgery, but some meningiomas may behave more aggressively and require additional therapies, usually irradiation.
Metastases ▼
Many tumors that are encountered in the brain do not develop in the brain proper: they are metastases, developing from tumors arising in other sites, most commonly lung, breast, skin, gastrointestinal tract.
Embryonal Tumors ▼
Embryonal tumors are primitive high grade neoplasms that resemble cell components encountered during development of the central nervous system. They have a predilection for children and young patients, and include medulloblastoma, the most common malignant primary brain tumor in children, and require aggressive treatment including chemotherapy and irradiation. Extensive irradiation may be necessary since these tumors have a propensity for dissemination along the cerebrospinal fluid.
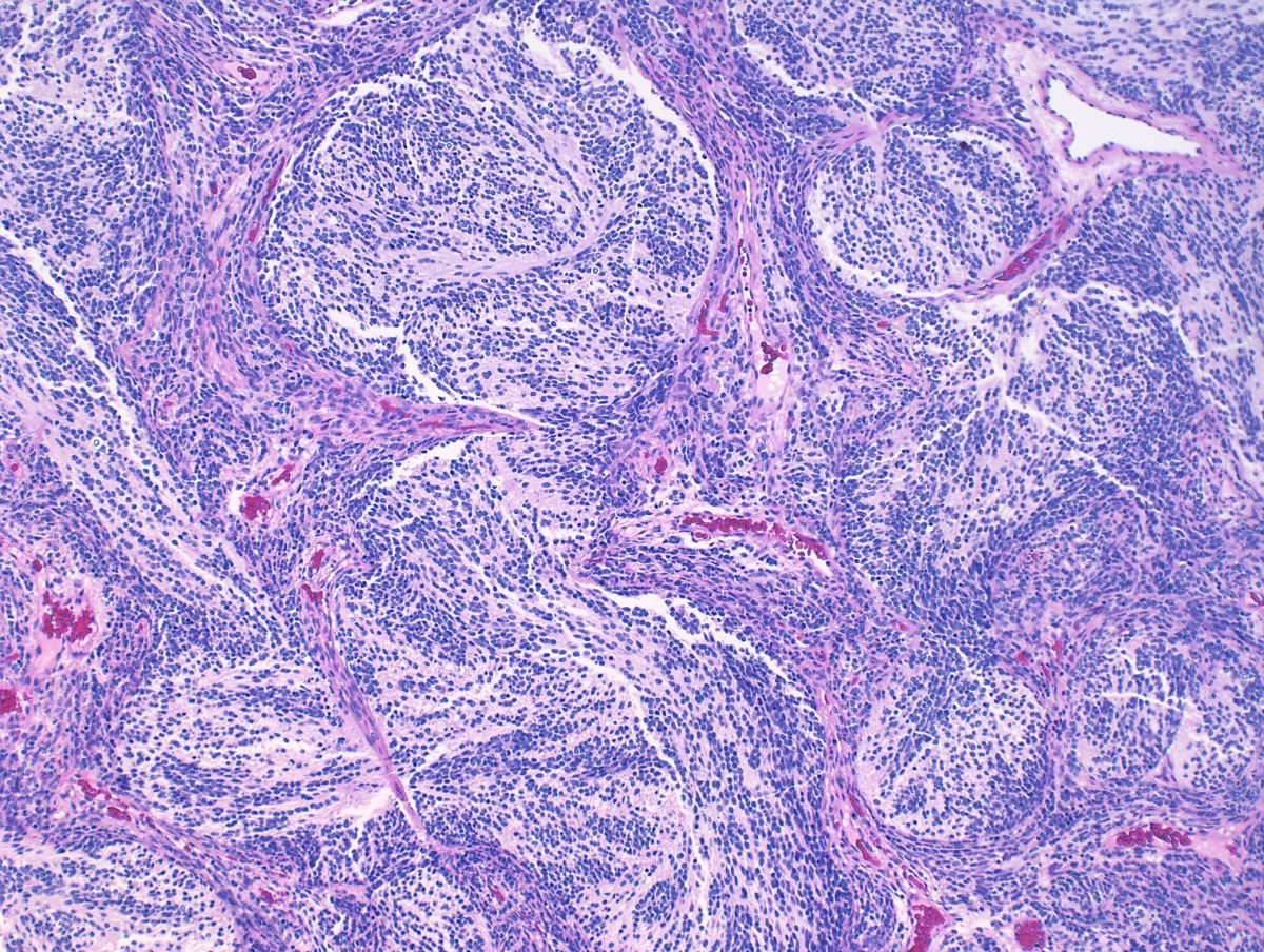
Ependymomas ▼
Ependymomas are solid tumors that may develop in the brain or spinal cord, and resemble ependymal cells that line the ventricles. Since these tumors are solid, they may be completely removed with surgery, but this is not always possible depending on their location, and they may require more aggressive therapies.
A subset of tumors remain difficult to classify even after thorough examination and the diagnoses are issued in a descriptive fashion, leading to broad categories and excluding more common tumor entities.
Under the Microscope: Most Common Types of Brain Tumors
Under the Microscope: Most Common Types of Brain Tumors



