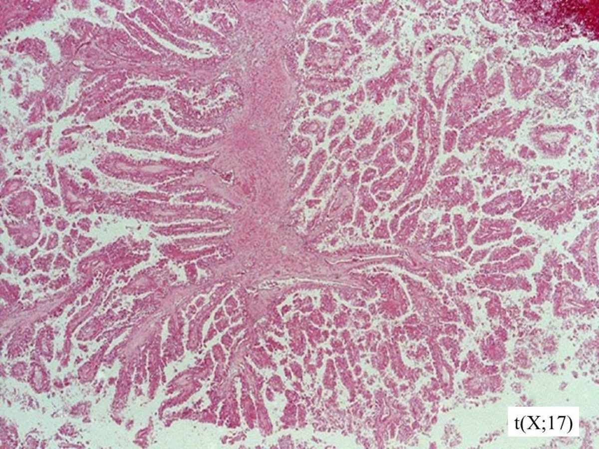
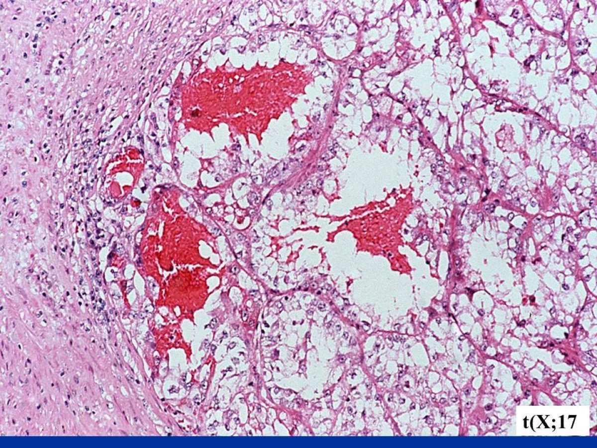
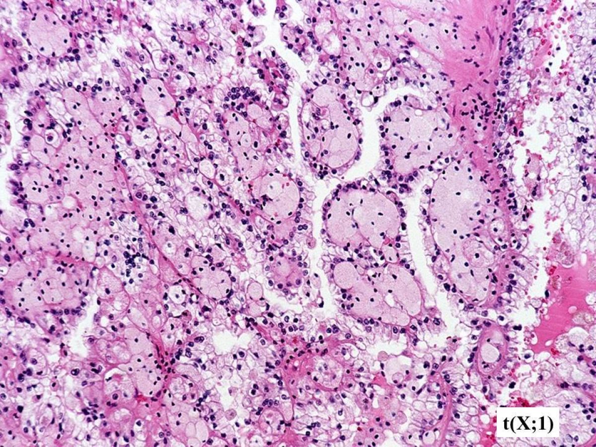
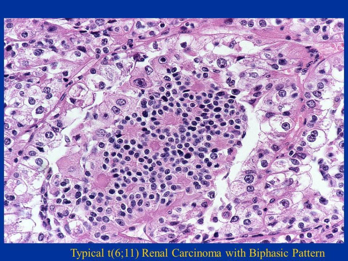
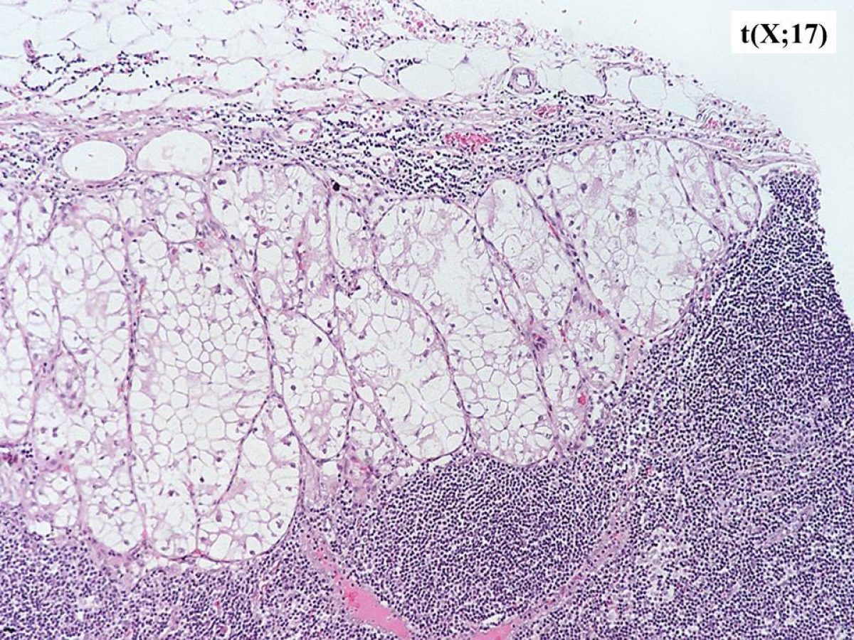
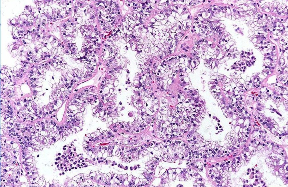
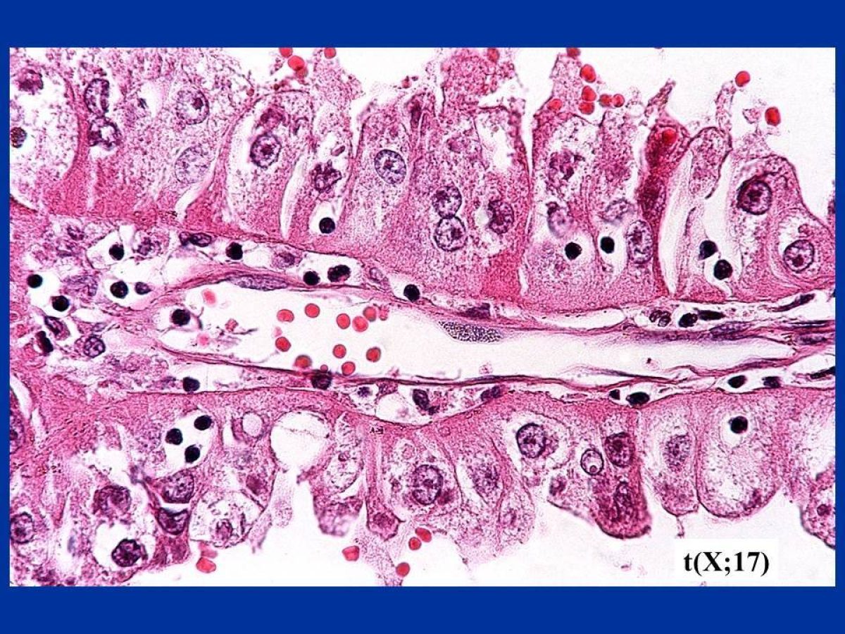
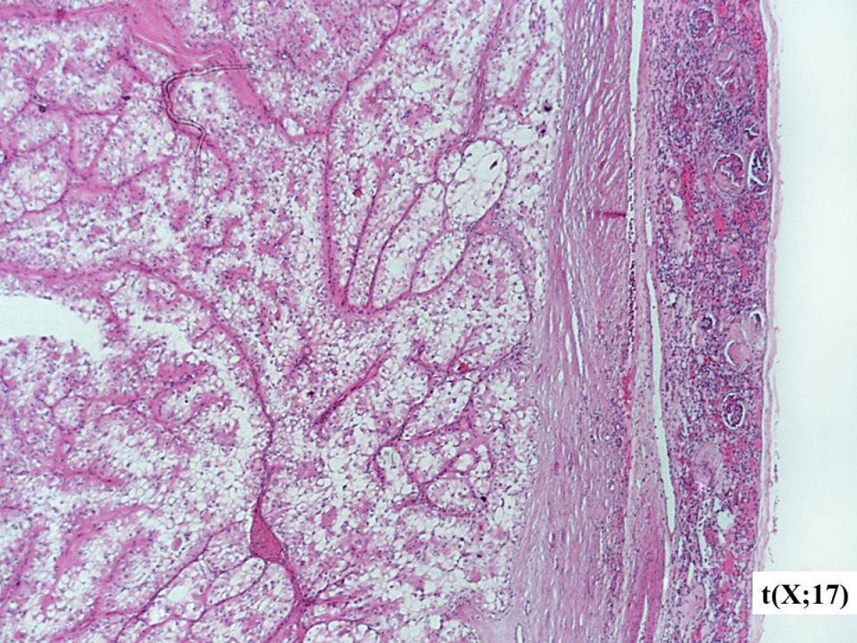
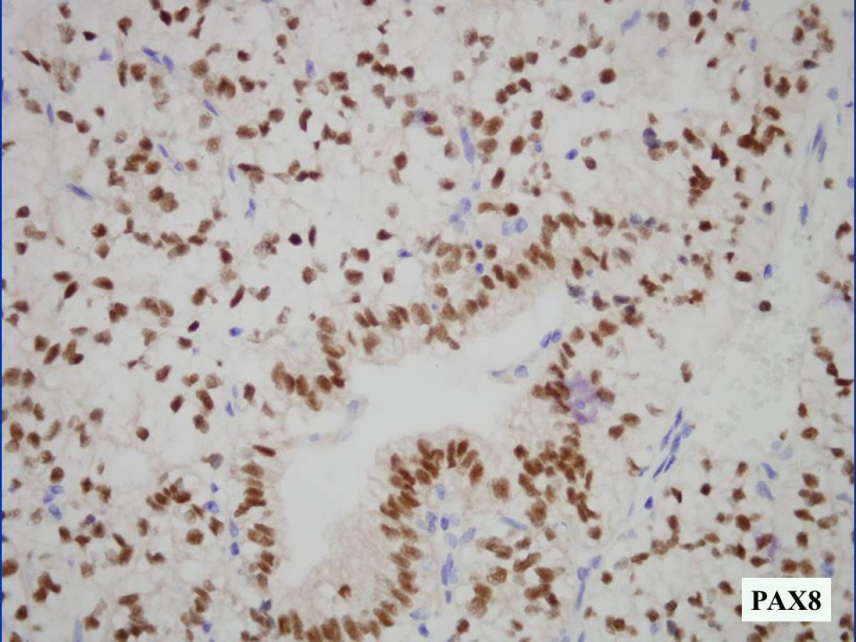
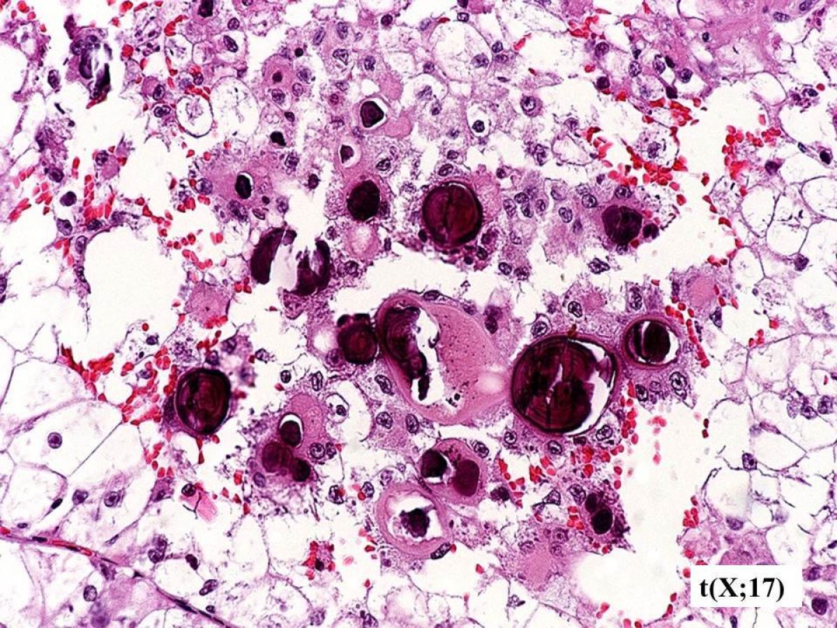
These pathology images are examples of what Translocation Renal Cell Carcinomas look like under the microscope.
TRCC Under the Microscope
TRCC Under the Microscope














These pathology images are examples of what Translocation Renal Cell Carcinomas look like under the microscope.