As a patient, the stage and grade of your pancreatic cancer will guide your treatment and have an impact on prognosis. Here you can learn what staging and grade mean, as well as how they are calculated.

Stage

Pancreas stage

Stage is a measure of how far the cancer has spread

Clinicians determine the size and extent of the cancer using a combination of biopsy results and clinical tests such as imaging (CT scans).

  • Stages I, II, III: cancer is confined to the pancreas and the immediate surrounding area
  • Stage IV: cancer has spread to other organs

Although different stages carry different prognoses, it is important to remember that the Median isn't the Message (an excellent article regarding prognoses and statistics by Stephen Jay Gould). There is always hope!

How Is Stage Determined?

The stage of a pancreatic cancer is determined by three factors: T, N, and M in a common system used by doctors to stage pancreatic tumors. A value is assigned for each of these factors based on the diagnostic test results. T, N and M values are then added up to determine stage.

T = size and local extent of the tumor
N = evidence of metastases (spread) in lymph nodes close to the pancreas
M = evidence of distant metastases (spread of the cancer far from the pancreas)

T (Tumor)   

T (Tumor) is assigned based on the size of the tumor (measured in centimeters) and the extent (whether or not it involves major blood vessels).

T (Tumor) What it Means
T0 No evidence of primary tumor
Tis In situ carcinoma
T1 Tumor ≤ 2cm (2 centimeters or 0.8 inches or smaller)
T2 Tumor > 2cm and ≤ 4cm in greatest dimension (tumors between 0.8 and 1.6 inches in size)
T3 Tumor > 4cm in greatest dimension (tumors bigger than 1.6 inches)
T4 Tumor involves the blood vessels of the celiac axis or superior mesenteric artery (unresectable primary tumor)
TX Primary tumor cannot be assessed
Pancreas Tumor Illustrations by Bona Kim

N (Regional Lymph Nodes)   

Lymph nodes are small collections of immune cells. Lymph nodes are present throughout our body. They help us fight off infections and other diseases. When pancreatic cancer spreads beyond the pancreas, cancer cells can deposit in the lymph nodes normally found around the pancreas. The "N" designation of staging refers to whether or not the cancer has spread to these lymph nodes.

N (Regional Lymph Nodes) What it Means
N0 No regional lymph node metastasis (cancer has not spread to the lymph nodes)
N1 Metastasis (tumor spread) in one to three lymph nodes.
N2 Metastasis (tumor spread) in four or more regional lymph nodes.
NX Regional lymph nodes cannot be assessed
Pancreas Lymph Nodes Illustrations by Bona Kim

Metastases to lymph nodes does not automatically eliminate surgery as a treatment option. There are lymph nodes scattered throughout the body. The location of the affected lymph nodes makes a big difference.
For example, the lymph nodes right around the pancreas (in the groove between the duodenum and the pancreas) are a very common site of metastases (tumor spread). These are considered locoregional and are routinely removed during the Whipple surgical procedure. However, the spread of cancer to more distant lymph nodes, such as lymph nodes near the lungs, may mean the tumor is unresectable.

M (Metastasis)   

72mets

The treatment of pancreatic is different if the cancer has spread (metastasized) beyond the pancreas and beyond the lymph nodes immediately around the pancreas. In general, surgery is not pursued for patients with metastatic pancreatic cancer. Instead, most patients with metastatic pancreatic cancer are treated with combination chemotherapy.

When pancreatic cancer metastasizes, it often spreads to the liver and/or to the lungs.

  • Liver - Metastases to the liver are a common finding especially with tumors in the tail and the body of the pancreas. Usually, if there is evidence of liver "mets," surgery is usually not an option. Recently, however, some surgeons do remove liver metastases ("oligometastatic disease") that have been stable or have shrunk after a year of treatment.
  • Lungs - Spread (metastases) to the lungs can occur in the setting of widespread disease, or in isolation. Several studies have found that some patients with isolated lung metastases live longer than do patients with isolated liver metastases.

M (Metastasis) What it Means
M0 Not metastasized
M1 Metastasized

Putting It All Together to Determine Stage   

Overall stage is determined by combining all the information on T, N, and M.

Stage T (Tumor) N (Regional Lymph Nodes) M (Distant Metastases)
Stage 0 Tis N0 M0
Stage IA T1 N0 M0
Stage IB T2 N0 M0
Stage IIA T3 N0 M0
Stage IIB T1
T2
T3
N1
N1
N1
M0
M0
M0
Stage III T1
T2
T3
T4
N2
N2
N2
any N
M0
M0
M0
M0
Stage IV any T any N M1

The American Cancer Society reports the 5-year survival rates for a number of cancers. The overall 5-year survival rate for pancreatic cancer is 9% (all stages). For patients with pancreatic cancer that has spread to other organs (metastasized) the reported survival rate is 3%. This increases to 10% for patients with regional disease and to 37% for patients with localized disease.

In most cases, stage is more important than grade in determining patient prognosis and treatment.

Grade

What is Grade?

The grade of a cancer can also be used to predict the aggressiveness of the cancer. Grade is a finding determined by examining the cancer under the microscope. In general, low-grade cancers look like normal ductal cells in the pancreas, while high-grade cancers look very different from normal ductal cells. The cells of high-grade cancers divide rapidly, and often have very big nuclei.

The current grading system, based on microscopic review is:

Grade What it Means
G1 Low-grade. Well differentiated. Generally less aggressive.
G2 Moderately differentiated
G3 High-grade. Poorly differentiated. Generally more aggressive.
GX Cannot be assessed (for cases in which there isn't adequate material to evaluate microscopically)

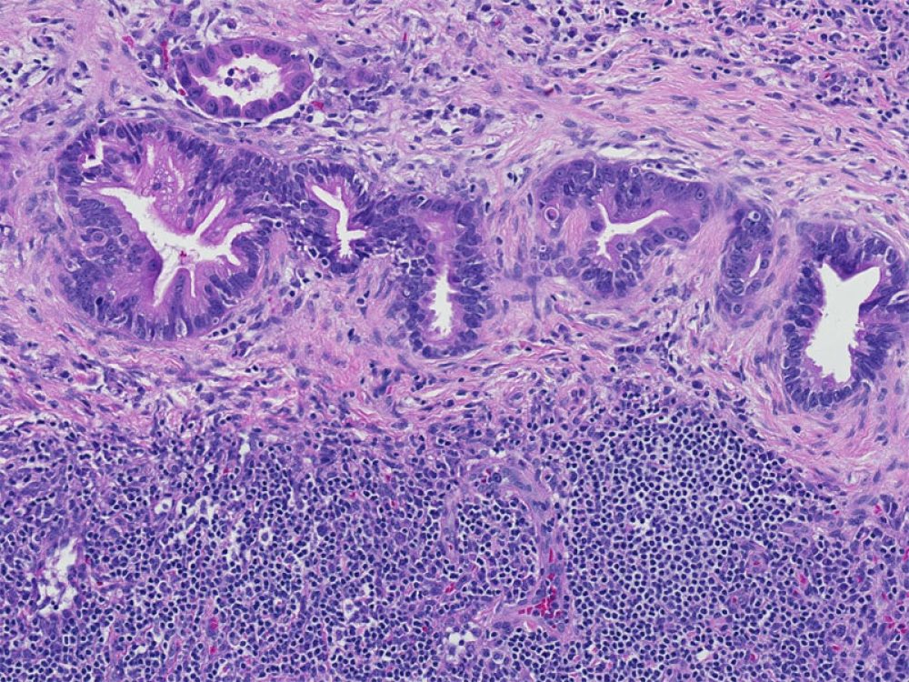
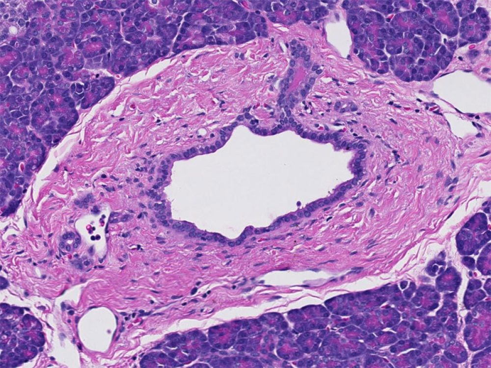
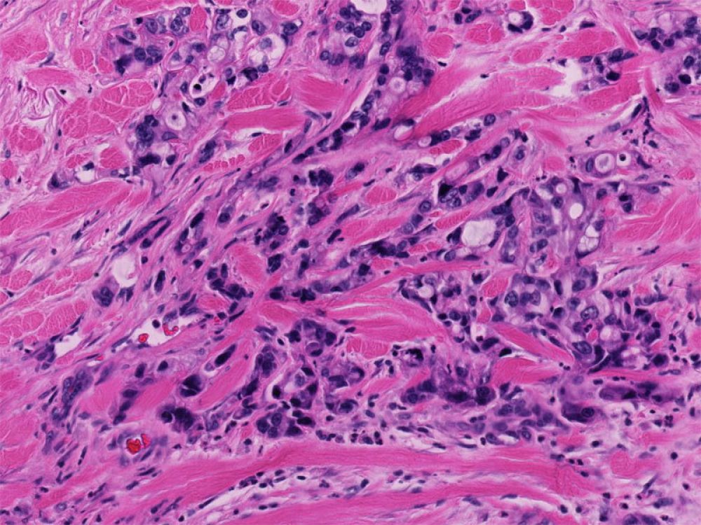
Under the Microscope: Grades of Pancreatic Cancer

The images below are examples of a normal duct and of low-grade and high-grade pancreatic cancer; these slides are what a pathologist sees under the microscope when evaluating the grade of a pancreatic cancer.

Normal Duct   

Normal Duct
The normal cells in the pancreas form ducts ("tubes") that are lined by small uniform cells.

Low-grade Adenocarcinoma   

Well Differentiated adenocarcinoma
Well-differentiated adenocarcinomas form ducts ("tubes") that, like normal ducts, are lined by relatively uniform cells.

High-grade Adenocarcinoma   

Poorly differentaited adenocarcinoma
Poorly-differentiated adenocarcinomas do not form well-defined ducts ("tubes"), and the cells vary in size and shape.
Next: Treatment